Implants are very highly regulated after the 3M prosthesis failures in the late 90’s and the ASR metal-on-metal hip replacements of the 2000’s. Prosthesis have to have a CE marking which is now awarded and renewed under very stringent rules and third party overseeing. All cases are entered into the UK National Joint Registry which is now mandatory. As an individual, you can contact them directly for details of your implants used independent of us. However, we can give you far more detailed information at anytime directly with ourselves. (There is also a voluntary ODEP rating and Beyond Compliance process for prosthesis although currently, this is not providing any more information than can already be obtained through the UK National Joint Registry: we can tell you the current rating of any prosthesis used). This is a very complex subject both to choose classes of prosthesis and to analyse survival data. We can help you if you have specific queries, but we can assure you that we would never use prostheses that were not very likely to give you the best result in your circumstances. We can guide and recommend for you as to what we think is the best option, so please don’t panic, you do not have to be a biomechanical materials expert!
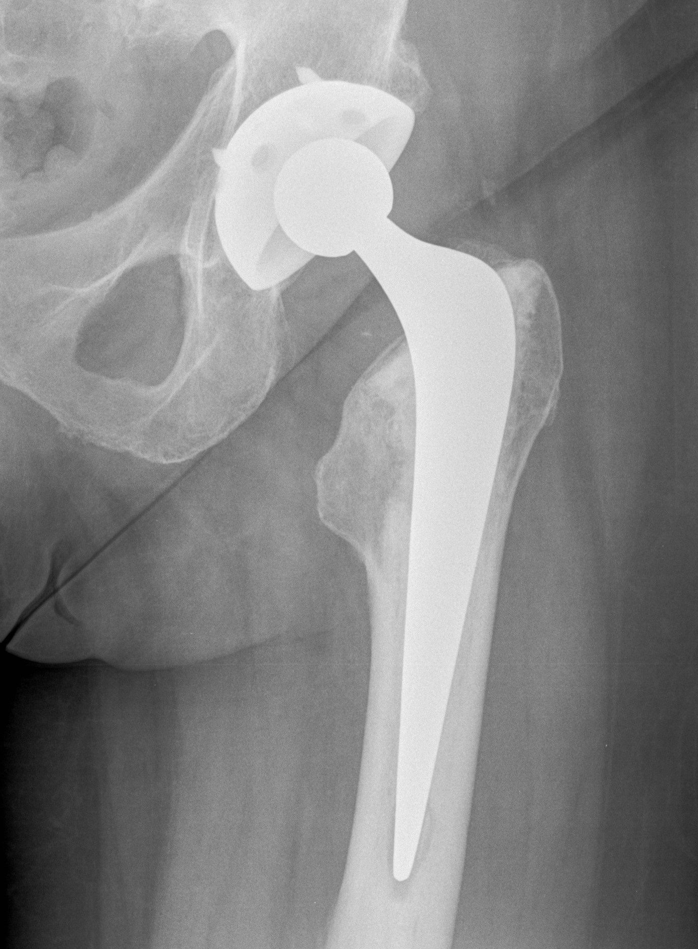
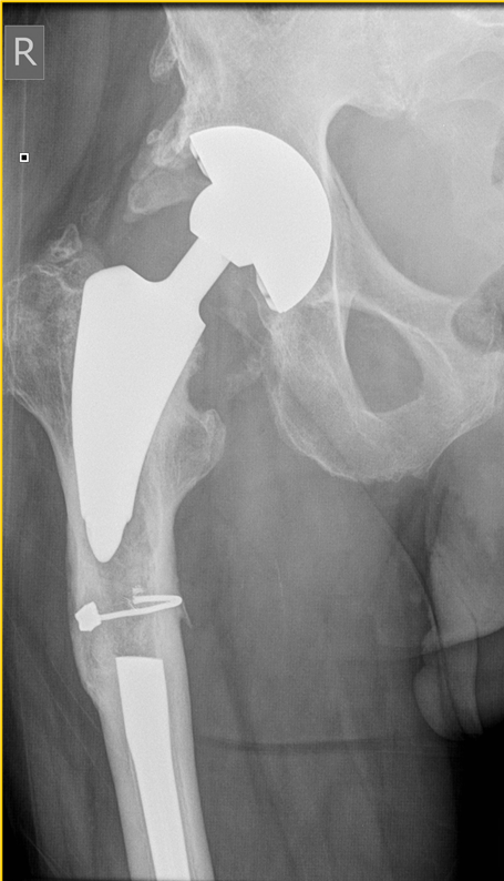
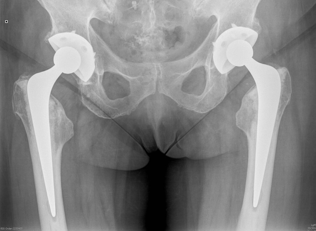
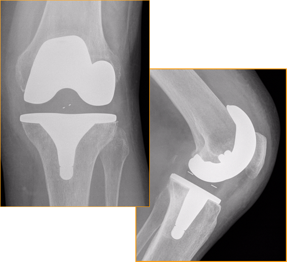
Below are the prostheses with links we commonly use but this is not exhaustive.